Tratament Pre-protetic

<<<

Aparitia unor situatii specifice adultilor au facut ca ortodontia sa faca parte dintr-o abordare multidisciplinara a planului de tratament.

 

Frecvent, la adulti, protetica singura nu poate garanta obtinerea rezultatelor ideale, astfel incat ortodontia devine indispensabila in anumite cazuri.

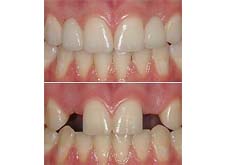
Inchiderea diastemei (“strungaretii”)

Canoanele estetice actuale recomanda inchiderea spatiului dintre cei doi incisivi centrali pentru obtinerea zambetului ideal. Uneori insa acest spatiu este prea mare pentru a fi numai inchis cu ajutorul fatetelor sau a materialelor compozite. Atunci reducerea ortodontica sau redistributia acestui spatiu vine in ajutorul proteticii.

Inchiderea diastemei (“strungaretii”)

Redeschiderea spatiului in cazul lipsei unuia sau a ambilor incisivi laterali

Redeschiderea spatiului

Absenta unui sau ambilor incisivi laterali poate fi tratata in doua moduri:

  • fie prin inchiderea spatiului cu ajutorul caninilor si apoi transformarea acestora in incisivi laterali prin fatetare directa sau indirecta
  • fie prin redeschiderea spatiului si aplicarea unui implant dentar

Redresarea axelor dentare

Pierderea prematura a unor dinti si neprotezarea imediata atrage dupa sine inclinarea dintilor vecini spatiului edentat ingustand spatiul pentru realizarea unei lucrari protetice corespunzatoare. In cazul extractiilor vechi la pacientii adulti este dificila inchiderea spatiilor si se recomanda redresarea dintilor inclinati si realizarea unui implant sau a unei lucrari protetice.

Ingresiunea dintilor migrati vertical

Extractia unor dinti si lipsa de inlocuire a lor, poate duce la deplasarea verticala a dintilor din arcada opusa fiind uneori imposibila realizarea unor lucrari protetice.

Elongare coronara

In cazul unor distructii extinse ale dintilor pentru evitarea unei proceduri chirurgicale de elongare coronara, extruzia controlata ortodontic poate fi o excelenta alternativa.

Urgente

Intrebari frecvente

Cazurile noastre

ORTODONTIE

Ce este ortodontia?

Contentia

De ce copilul meu are nevoie de aparat dentar?

Tratamentul precoce

Tratamentul cu aparate mobilizabile

Tipuri de anomalii dentare

Tratamentul cu aparatele fixe